脂肪組織は、生体内の余剰エネルギーを脂肪の形で貯め込む特殊な器官です。それゆえに現代人にあっては、とかく蔑視されがちな存在でもあります。この組織は、白色脂肪細胞、その前駆細胞を含む線維芽細胞、マクロファージ、血管周囲細胞、血液細胞などから構成されています。
脂肪細胞の数はヒト成人でおよそ300億個
脂肪細胞の数は、ヒト成人でおよそ300億個、肥満者では400~600億個にも達するといわれています。脂肪1gは9kcalのエネルギーを有するので20歳代の平均的男子の場合、体重64kg、体脂肪率20%とすると、体脂肪は12.8kgとなり、これをエネルギーに換算すると115,200kcal、ご飯で茶碗720杯分にもなります。これは20歳代男子のエネルギー所要量からみると45日分のエネルギー量に相当します。動物は本来常に「飢え」に直面しているので、活動のためのエネルギー源を体内に貯蔵しておくことが生き残るための必須条件になるので、この仕組は動物がエネルギーを体内に溜め込む機構は極めて巧妙に出来ているわけです。

生体のエネルギーは、もっぱら摂取食物に依存するわけですが脂肪組織は一連の脂肪細胞の増殖と分化の過程を介して、きわめて効率的にエネルギーを脂肪の形態で貯蔵しています。動物は本来生存のためにエネルギーを脂肪として体内に保持しやすく、かつ放出しにくいという生理的特徴をもちます。この点においては非常によくできた機能ではあるのですが、飽食の時代である現代日本では肥満が多いことの原因にもなっています。
エネルギー倉庫の白色脂肪細胞
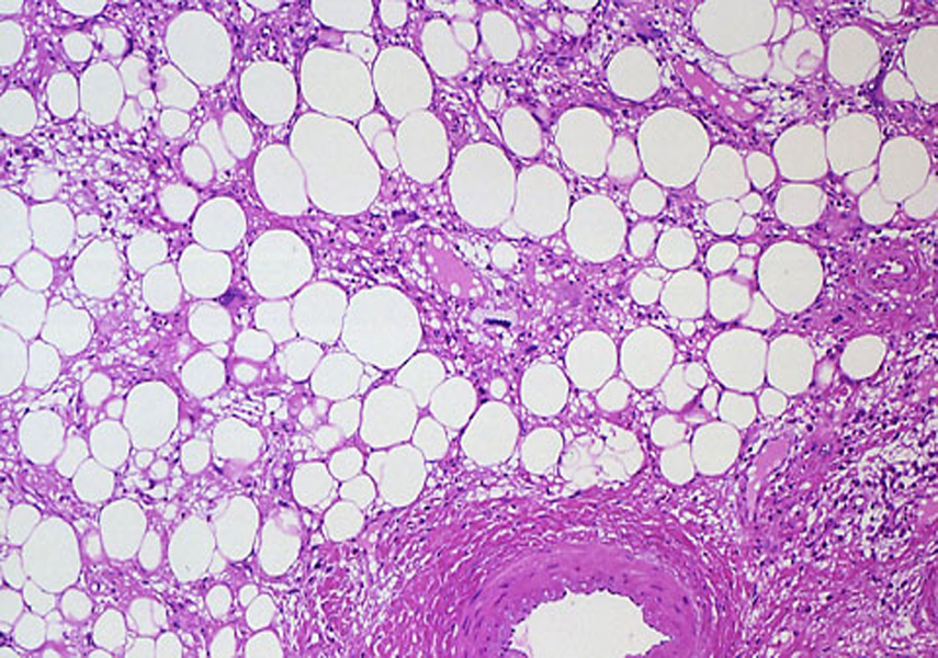
脂肪を語るうえで、欠かせないのが先に述べた「白色脂肪細胞」という細胞です。白色脂肪細胞は、食事によって過剰となり血液中に流れている中性脂肪などの脂質や糖(合成されて中性脂肪になる)を取り込み、エネルギーとして蓄えていきます。とどのつまり、体の中の脂肪とは、「白色脂肪細胞」という倉庫のような細胞に蓄えられた中性脂肪なのです。
白色脂肪細胞は全身に広く分布しています。数は思春期にかけてぐっと増えていき、20歳前後の成人では約300億個となるといわれています。白色脂肪細胞が脂肪を蓄えると、通常は直径が80μmほどの大きさになりますが、エネルギーが過剰になると白色脂肪細胞が脂肪をどんどん取り込んで直径140μm近くまで肥大化し、最大1μgの脂肪が入るといわれています。これが脂肪の体積が増える理由の一つです。

少し前まで白色脂肪細胞は、乳幼児期や思春期など限られた時期にしか増加せず、その時期に生涯の数が決定すると考えられていました。ところが近年の研究によって、思春期を過ぎても存在する白色脂肪細胞が脂肪でいっぱいになると、細胞の数を増やしてさらに脂肪を取り込むということがわかってきました。そのため、肥満者の白色脂肪細胞は最大約800億にもなるといわれています。逆に白色脂肪細胞は脂肪を蓄えるだけではなく、エネルギーが必要になったときに、自らの脂肪を分解し「遊離脂肪酸」と「グリセロール」という形で全身に供給します。ですが、白色脂肪細胞が死んでしまうかというとそうではありません。脂肪を放出した白色脂肪細胞は、小さくなって前駆細胞という、いわば細胞の赤ちゃんの状態に戻ります。そして、再度エネルギーが余った状態になると、すぐに大人の細胞になり、脂肪を取り込んでいくのです。
痩せたからといって脂肪細胞がなくなるわけではなく、小さくなるだけであるということです。一度肥満になり脂肪細胞が増えて、痩せても脂肪細胞は減らないわけですから、やはり脂肪細胞を増やさないように日々エネルギーの管理をすることが大事になりますね!



















